Real Smiles, Real Results
At Degenhardt Orthodontics, we create smiles that last a lifetime. Explore our before-and-after gallery to see real patient transformations and the incredible results of expert orthodontic care.


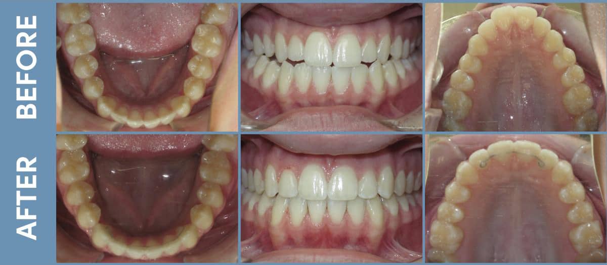
Keith K. — Crowding Corrected with Clear Aligners
Keith was frustrated by lower crowding that made cleaning difficult and affected his confidence. With clear aligners, we straightened his teeth, broadened his smile, corrected his deep overbite, and improved long-term oral hygiene access while protecting his gum and bone health.
clear aligners, crowding, adult

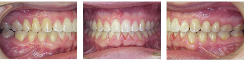
Meghan J. — Surgery Avoided with Clear Aligners
For years, Meghan was told jaw surgery was the only option to correct her bite. With clear aligners, careful planning by Dr. Steve, and excellent compliance, we corrected her bite and transformed her smile—without surgery.
clear aligners, bite correction, adult

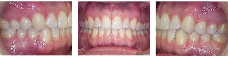
Doug H. — Surgical-Orthodontic Treatment
Doug initially sought orthodontic treatment to improve his smile, but after alignment, his bite still felt off. By working closely with our jaw surgeon, we addressed the underlying skeletal concerns to achieve a stable, functional, and esthetic result.
braces, bite correction, adult, jaw surgery

Sara G. — Braces & Extractions for Crowding and Protrusion
Sara was unhappy with her smile due to crowding and dental protrusion. With braces, removal of four teeth, and exceptional rubber band wear, her smile was beautifully corrected—and she continues to maintain her result as a dedicated retainer patient.
braces, bite correction, tooth removal

Deven B. — Deep Overbite and Cosmetic Correction
Deven's deep overbite caused him to bite the roof of his mouth and limited his smile esthetics. With braces, we corrected his bite and alignment, and by collaborating with his general dentist to restore a narrow tooth, we achieved ideal symmetry and a balanced final result.
braces, bite correction, teen/adolescent, cosmetic restoration (done by dentist)

Marlee W. — Two-Phase Treatment to Avoid Extractions
Marlee began treatment because her permanent teeth did not have enough room to erupt properly. In Phase 1 treatment, we used an upper expander and braces to create space and avoid extractions. In Phase 2, we corrected her overbite, midline discrepancy, and remaining crowding.
braces, crowding, 2-phase treatment, teen/adolescent

Marissa A. — Braces & Rubber Bands to Correct Openbite & Underbite
Marissa presented with an open bite, underbite, and V-shaped arches. After approximately 18 months of braces, along with excellent rubber band wear and oral hygiene, she now enjoys a corrected bite and a significantly improved smile.
braces, bite correction, teen/adolescent, cosmetic restoration (done by dentist)

Jack W. — Two-Phase Treatment to Correct Significant Protrusion and Spacing
Jack started treatment with protruding and spaced upper front teeth. Through two phases of orthodontic care using an expander, braces, and rubber bands, we achieved a healthy bite and a confident smile.
braces, bite correction, 2-phase treatment, teen/adolescent

Charlotte C. — Two-Phase Treatment to Avoid Tooth Removal
When Charlotte came to us, she had limited space for all of her teeth to erupt. With Phase 1 (upper expander and braces) and Phase 2 orthodontic treatment, we avoided tooth removal and created a broad, beautiful smile.